![]()
![]()
一般的な歯科治療の事で口腔外科、矯正歯科、小児歯科といった特別な歯の治療以外のむし歯、歯周病の治療や義歯の作成など、普段患者様が歯科医院で受ける治療のことをいいます。
歯痛があるとき、歯肉が腫れたとき、また詰め物が取れたり、入れ歯が壊れて食事がきちんと出来ない時などに、ご希望に応じて出来る限りの治療を致します。
当クリニックでは極力痛みを抑えできる限り歯を抜かない治療を心懸けております。
治療方法は一人ひとりにあった最適な治療計画を立て治療、指導にあたらせて頂きます。
口臭予防や歯のクリーニングまた、歯科検診等もお気軽に当クリニックへご相談下さい。
![]()
虫歯治療や、お子様の健康的な永久歯列への育成、また、虫歯予防や歯並びに関する指導を行っております。
具体的に虫歯の早期発見や虫歯の早期治療、虫歯予防などです。
是非、定期的な検診をお勧めいたします。
![]()
矯正歯科とは、歯並びや噛み合わせが悪い歯を綺麗にし、噛み合わせを改善する歯科治療です。
矯正装置の種類は表側矯正※1・裏側矯正※2・マウスピース矯正※3などがあります。
※1<表側矯正>: セラミックブラケット・メタルブラケット
※2<裏側矯正>: 上下裏側矯正や上だけ裏側下表セラミックブラケット
※3<マウスピース矯正>: 取り外しのできる透明なマウスピースタイプの矯正装置
![]()
インプラントとは、無くした歯の部分へ人工歯根を顎の骨に植立させ、噛む力を骨で受け止める方法です。
インプラントは、従来の入れ歯と比べて、着脱の煩わしさがありません。また、異物感が少なく審美性に優れ、入れ歯のバネなど必要なく歯への負担がなく、骨がやせてくる事がありません。
ブリッジ等と比較すると、隣の歯を削る必要がないので、隣の歯にかかる負担が少なくなります。
多大な利点がある一方で、インプラントは、手術が必要になる事と治療費がすべて自費になる事、インプラント治療が施せる条件が多いなどの欠点もあります。
![]()
審美治療とは歯を美しくし、素敵な微笑を作り出す治療です。
従来の歯科治療は、虫歯や歯周病を治療し、痛みを取り除き、しっかりと噛むことができるようにすることがメインでしたが、審美歯科治療は歯全体のバランス、口元の調和までを考え、総合的な美しさを作り出す歯科治療です。
また、、美しさだけでなく、歯の機能面を最優先させたうえで、美しく治るように治療します。
![]()

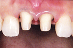
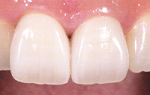
Before
After
神経をとる事なく歯の表面を一層削ってセラミックフリートを歯に直接ラミネートプレートを貼り付けます。
![]()

Before
After
歯の形態、方向、色、様々な角度から美しい歯に作り変える事が出来ます。
歯全体を削って、その上からセラミッククラウンを被せます。
![]()

特殊なラバーチップを使って歯の汚れをとります。
これは普通のクリーニングを違って、クリーニング後、歯面に汚れを付きにくくするのも特徴です。
![]()

Before
After
歯に優しいホームホワイトニングを行っています。
御自宅で、1日15分程度お薬をつける事によって歯を白くします。
自費治療についてはこちらをご覧下さい。











